G-W15BBT0DQK

マウスピース矯正 モニター募集

マウスピース矯正 モニター募集

この矯正治療スタートしよう

女性

矯正モニターとして
ご協力頂ける方サポート

女性

大阪つつい歯科・矯正歯科では、歯並びが気になっている方や、矯正治療を検討されている方に向けて、マウスピース矯正(インビザライン)のモニター募集を行っています。

患者さまお一人おひとりのお口の状態やご希望に合わせて治療計画をご提案し、ご協力いただける方にモニター制度をご用意しています。矯正を始めるか迷っている方も、まずはお気軽にご相談ください。

歯並びが気になる方
こんなお悩みは
ありませんか?

歯並びの悩み
女性

もっと早く
矯正すればよかった…

女性

矯正治療を終えた多くの方が口にされるのが、「もっと早く始めればよかった」という言葉です。歯並びは年齢とともに少しずつ悪化し、放置するほど治療は複雑になりやすく、治療期間も長くなる傾向があります。歯並びが気になっている今こそ、一歩踏み出すタイミングかもしれません。

矯正応援
モニターキャンペーン概要

キャンペーン名
矯正応援 モニターキャンペーン
期間
4/1(水)~4/30(木)
対象
・2期治療(成人矯正)をご検討中の方
・本気で自分を変えたいとお考えの方
・先着10名・限定募集

※丁寧な診断・治療計画の立案のため、募集枠を限定しております。 ※例年、4月上旬には予約が埋まる傾向にありますので、お早めにご相談ください。
内容
初回の矯正相談では、お口の状態の確認に加え、iTeroによる歯並びシミュレーションを実施します(無料)。

さらにご希望の方にはレントゲン撮影を行い、より詳細な治療計画シミュレーションをご案内。「治療後の自分」をイメージしながら、治療方法や費用について丁寧にご説明いたします。

モニター対象の方には、口元・口腔内の写真撮影やアンケートへのご協力をお願いしております。なお、お写真は個人が特定されないよう十分配慮したうえで、学会発表や当院ホームページ等に使用させていただく場合がございます。
条件
・治療後のアンケートにご協力いただける方
・口元および口腔内の写真撮影にご協力いただける方
・当院の定める通院スケジュールを守っていただける方
・治療内容・注意事項についてご理解・ご同意いただける方
こんな方におすすめ
・矯正を始めるか迷っている方
・まずは話を聞いてみたい方
実施医院
大阪つつい歯科・矯正歯科
〒530-0005 大阪府大阪市北区中之島2-3-18
中之島フェスティバルタワー 15階・18階
ホワイトニング体験チケット

マウスピース矯正
(インビザライン)とは

透明なマウスピースを使って歯を動かす矯正治療です。

マウスピース矯正

マウスピース矯正の特徴

  • 透明で目立ちにくい
  • 取り外し可能
  • 食事や歯磨きが普段通りできる
  • 痛みや違和感が比較的少ない

当院の矯正治療

従来のワイヤー矯正に比べ、日常生活への影響が少ない矯正方法です。
当院では、女性歯科医師がマウスピース矯正を担当しています。
「矯正治療が初めてで不安」という方も 安心してご相談いただけます。

矯正治療の経験を活かした診断
矯正治療の経験を
活かした診断
丁寧なカウンセリング
丁寧なカウンセリング
一人ひとりに合わせた治療計画
一人ひとりに
合わせた治療計画
口元の美しさや顔全体のバランスにも配慮
口元の美しさや
顔全体のバランスにも
配慮
歯の矯正器具

治療期間の短縮にも対応

歯の矯正器具

矯正治療は、一般的に2年〜2年半ほどかかることが多い治療です。当院では、近赤外線による加速装置を併用することで、矯正治療期間の短縮に対応しています。
患者さまのご希望の期間にできる限り近づけられるよう、カウンセリングの際にしっかりとご希望を伺いながら、治療計画をご提案いたします。

矯正モニターについて

歯並びが気になっている方や、矯正治療を始めたいとお考えの方に向けて、
マウスピース矯正(インビザライン)のモニター募集を行っています。
モニターとしてご協力いただける方には、モニター制度でのご案内が可能です。
無理に治療をおすすめするものではありませんので、まずはお気軽にご相談ください。

内容

  • 矯正相談
  • 治療計画のご説明
  • 治療期間・費用のご案内

矯正を始めるかどうかは、相談後にゆっくりご検討いただけます。
なお、モニターであっても通常と同じ治療内容で進めてまいりますので、安心してご相談ください。

担当医のご紹介

矯正担当医 筒井 万里子

当院の矯正治療は、 米国・日本 インビザライン認定ドクターの筒井 万里子が担当します。歯並びだけでなく、口元のバランスや笑顔の印象にも配慮しながら、患者さま一人ひとりのお悩みに寄り添った矯正治療をご提案しています。まずはお気軽にご相談ください。

矯正担当医 筒井 万里子

矯正担当医 筒井 万里子

  • 米国・日本 インビザライン認定ドクター
  • ニューヨーク大学 矯正科 修了
  • 日本矯正歯科学会 会員
  • アメリカ矯正歯科学会 会員

矯正治療を受けた方の
リアルな声

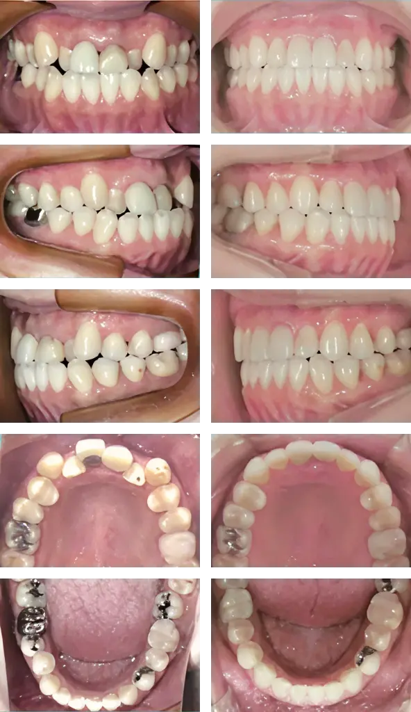
ガタガタ・反対咬合・被せ物の不適合

ガタガタ・反対咬合・被せ物の不適合 40代 女性

今さら遅いかなと迷っていましたがなかなか諦めきれず、自分の前歯も持つのか不安になり相談したところ「今のご自身の歯を全部残しましょう、しかも今より良い状態になりますよ」という言葉に背中を押されました。歯磨きもしやすくなり、健康への意識も変わりました。人生が変わるほどの喜びを感じています。

インスタグラムブログ

無料カウンセリングをおこなっております

「歯を白くしたい」
「インプラントの相談をしたい」
「歯肉が下がって気になる」
「矯正を相談したい」

など、歯やお口の悩みはありませんか?
歯の健康に関する疑問・不安、治療内容に関する相談を受け付けています。
大阪・中之島・肥後橋でお口でお困りの方は、何でもお気軽にご相談ください。

※各種保険診療に対応。

カウンセリングのご予約フォームはこちら

お電話でのご予約はこちら

診療時間 日・祝
9:30〜18:00

※休診日は日曜・祝日

大阪・中之島・肥後橋で、安全性・美しさ・長持ちすることにこだわった治療をご提供します。

大阪つつい歯科・矯正歯科

〒530-0005

大阪府大阪市北区中之島2-3-18 中之島フェスティバルタワー15階

アクセス 交通 大阪メトロ・京阪の2駅に直結

大阪メトロ四つ橋線「肥後橋駅」下車4番出口直結

京阪中之島線「渡辺橋駅」下車12番出口直結

大阪メトロ御堂筋線・京阪「淀屋橋駅」下車7番出口より徒歩7

JR東西線「北新地駅」下車11-5番出口より徒歩10

各線「大阪駅」下車桜橋口より徒歩13

  • 電話で診療・相談のご予約
  • Webでのご予約
  • Webでのご予約
  • 中之島・肥後橋・淀屋橋で歯科/歯医者なら大阪つつい歯科・矯正歯科にご相談ください!