矯正歯科
目次
- 大人の矯正治療、こんな お悩みはありませんか?
- あらゆる歯並びのお悩みもお任せください
- 当院の高精度なマウスピース型矯正治療 インビザライン®ならすべて解消できます
- 世界トップシェア世界で1700万人以上の実績のあるマウスピース矯正です
- もちろんお子様も インビザライン®による矯正治療が可能です
- 大阪つつい矯正歯科ではすべてを矯正専門の 担当医 筒井万里子が責任をもって治療を致します
- インビザライン®ダイヤモンドプロバイダーに認定されました
- 80歳で20本の歯を残すためには・・・
- 大阪つつい矯正歯科が選ばれる 6の理由
- 他の矯正とのちがいとは?
- 他の矯正装置との比較 6の理由
- 他のマウスピース矯正との比較
- 治療費
- お支払方法
- 治療の流れ
- よくある質問
インビザラインは薬機法対象外の矯正装置です
未承認医薬品等であること
薬機法対象外の矯正科装置であり医薬品副作用被害救済制度の対象外となる場合があります。日本では、患者さん一人ひとりに作製する装置であること、機械で作製されることから医療機器としての矯正装置に該当しないこととなっています
入手経路
インビザラインはアメリカのアラインテクノロジー社の製品であり、「インビザライン・ジャパン株式会社」より入手しています。
国内の承認医薬品等の有無
マウスピース型矯正装置に使用している材料は、薬事承認されているものであり、安全にご使用いただけます。
諸外国における安全性に係る情報
1998年にFDA(米国食品医薬品局)から医療機器として認証を受けており、これまでに治療を受けた際の、重大な副作用の報告はありません。
大人の矯正治療、こんな
お悩みはありませんか?
治療期間が長そう
矯正したいけど目立ってしまうのが怖い
歯茎がどんどん下がってきた
歯のガタツキが大きくなってきた
噛み合わせに違和感がある
虫歯や被せ物のやり変えなど包括して治療してほしい
あらゆる歯並びのお悩みもお任せください
歯並びやかみ合わせが悪いと、見た目だけではなく、歯ブラシが当たりにくくなり
汚れがたまりやすくなることで虫歯や歯周病の原因になったりすることもあります。


そのご心配⋯
当院のマウスピース型矯正治療
インビザライン®※で解消できるかもしれません
インビザライン®治療歴14年以上の担当医の実績と全世界1700万症例以上のデータの裏付けのある唯一の治療システム

※ インビザライン®は薬機法対象外です。
インビザライン®とは?
世界トップシェア世界で1700万人以上の実績※※のあるマウスピース矯正です
インビザライン®は全世界100か国以上で1700万人以上の人が使用して矯正治療を受けており、No1の実績がある治療方法です。
インビザライン®社は世界で最大のシェア数を誇り、圧倒的なデータをもとにマウスピース矯正装置を設計するソフトを提供し、ひとりひとりの患者さんのお口の中の状況に合わせた治療計画を練っていきます。
大阪つつい歯科・矯正歯科では、よりムダの少ない効率的な治療計画で治療期間の短縮を目指しています。
※※ インビザライン、インビザラインGO矯正の合計(2023年12月末)

もちろんお子様も
インビザライン®による矯正治療が可能です
小学生・10代のためのマウスピース矯正治療

小学校入学後から10代の口腔内は成長過程にあり、歯の生え変わりや顎の発達など大きな変化があるため、成人を対象とした他のマウスピース矯正では治療が困難でしたが、インビザライン®は、このような様々な課題点を考慮し、新しいマウスピース矯正システムを開発してきました。乳歯が残る小学校低学年から10代中高生のうちから始める矯正治療は痛みが少ないインビザライン®がおすすめです。


これからのグローバル社会に向けて、 お子様たちも矯正治療に挑戦中!!
大阪つつい矯正歯科ではすべてを矯正専門の
担当医 筒井万里子が責任をもって治療を致します
インビザライン®による矯正治療は、ドクターの診断や技術力により最終的な歯並びのデザインが異なってきます。
矯正治療には美的センスも大切です。医療としての技術・知識はもちろんですが、顔全体と歯並びのバランスも大事にしつつ、ひとりひとりが最高の笑顔になれるようお手伝いいたします。


矯正担当医 歯学博士
米国・日本 インビザライン®認定ドクター
筒井 万里子 つつい まりこ
当院での矯正治療は見た目を改善することはもちろん、生涯自分の歯をしっかり使っていただけるよう機能面も改善することを目的とした医療として質の高い矯正治療を提供しています。
小学校入学前のお子さんから、上は70代の方まで、様々な年代の方が来院され、他の医院ではマウスピース矯正ができないと言われたような難しい症状の方でも高い技術力と診断力で対応することが可能です。
新しい自信に満ちた人生を送るサポートができるようにお手伝いさせていただきます。マスク生活の今だからこそ、一緒に矯正治療を始めてみませんか?
経歴
- 1998年3月大阪府立北野高校 卒業
- 2005年3月岡山大学歯学部 卒業
- 2005年4月大阪大学大学院 歯科保存科 入学
- 2007年10月日本歯科保存学会学術大会デンツプライ賞受賞
- 2009年3月大阪大学大学院 卒業歯学博士号取得
大阪大学 論文100選受賞 - 2009年4月IADR 国際歯科研究学会学術発表
- 2010年7月二ューヨーク大学 矯正歯科 入学
米国インビザライン認定ドクター 取得
Wilcodonticsコース修了
Alexander Tequnique コース修了
Speed System コース修了 - 2011年7月ニューヨーク大学矯正歯科 アドバンスプログラム 卒業
- 2012年7月日本インビザライン®認定ドクター 取得
所属学会
- 日本歯科保存学会
- アメリカ矯正歯科学会員
- 近畿東海矯正歯科学会
- 日本非技歯研究会
インビザライン®ダイヤモンドプロバイダーに認定されました
ダイヤモンドプロバイダーとはインビザライン®を利用した症例数が年間80症例以上の施設もしくはドクターに対してインビザライン社から認定されるものであり、全国のインビザライン®を行っている施設、ドクターの中でトップ3%の症例数にあたるものです。
当院で矯正担当する筒井万里子は開業時よりインビザライン®プラチナエリートプロバイダー、2022年からはダイヤモンドプロバイダーに認定されておりますので安心してマウスピース矯正を受けていただくことができます。

80歳で20本の歯を残すためには・・・
-8020達成一
開咬や反対咬合の場合20本の歯が残る確率は0%
正常咬合の場合は84.6%
良いかみ合わせをつくってあげることが、いつまでも自分の歯を残してあげる秘訣です。
健康で歯が良ければ何歳になってもおいしく食事を楽しめます。
あなたの将来の歯をインビザライン®(マウスピース矯正)で守りましょう。
8020達成率と咬合


大阪つつい矯正歯科が選ばれる
6の理由
01 インビザライン®治療歴14年の豊富な実績で安心
矯正医のDr筒井は矯正治療では日本の10年先をいっているといわれるアメリカへ2009年に渡り、全米で患者数がNo.1のNewYork大学で歯科矯正の知識・技術を習得しました。年間100名以上のインビザライン®治療を経験し、帰国後日本のインビザライン®認定医を取得。矯正専門医院や一般歯科医院でインビザライン®矯正治療1000症例以上を行ってきました。最後まで責任を持って治療を行いますので安心してご相談ください。
02 女性の矯正担当医だからこそ 気軽にお悩みも相談いただけます
些細なお悩みや美容についての憧れなど、気軽にお話しいただき、楽しい前向きな気持ちで 通院していただけます。女性の目線として患者様にとって一番よい治療法をお伝えできればと思います。
03 インビザライン®の難症例にも対応しています
インビザラインによる治療経験がある当院は、患者様一人ひとりのお悩み、お口の状態に合わせた矯正方法をご提案いたします。 通常、インビザラインでは難しい重度の不正咬合でも、当院では対応できるケースもございます。まずはお気軽にご相談下さい。
04 3Dスキャナー・iTero Element(アイテロ エレメント)導入
iTeroElementとは、光学印象口腔内スキャナーのことを指します。アルジネートと呼ばれる従来の印象材を用いての歯型取りとは異なり、負担も少なく短時間で快適に矯正装置を作製するための必要な歯型をとることが可能です。
05 全室完全個室プライバシー性も高く安心
当院では完全個室の診療室をご用意。プライバシー性が高いため、診療中の姿を見られることは一切ございませんので、ゆったりと落ち着いた状態で治療を受けることができます。また、お悩みなども周りを気にせず気兼ねなく相談できる環境です。どうぞ、リラックスした気持ちで歯の治療をお受けください。 また手術に関しても、完全個室で治療を提供しており、安心感を持って治療に望んで頂けます。
06 加速装置で治療期間を大幅短縮
当院では近赤外線による加速装置の併用により、矯正治療期間を大幅に短縮することが可能です。 お客様のご希望の期間に可能な限り沿えるようカウンセリングの際にしっかりとヒアリングさせていただきます。ご安心してご来院ください。
07 包括して計画を立て選択できる
歯ぐきの痩せや、インプラント治療の併用など、専門分野の掛け合わせ治療が当院なら包括して計画を立て選択できる。
他の矯正とのちがいとは?


01 透明だから目立たない
インビザラインでの矯正のメリットは、まず装置が目立た ないことです。薄く透明なマウスピースを使用する為、ほ とんど気づかれることはないので、安心して治療いただけ ます。

02 取り外せるから食事も自由
ご自身で取り外しができるので、いつもどおりの食事や歯。 磨きができます。また取り外したインビザライン®は洗える ので、歯も、装置ともに常に清潔を保てます。

03 痛みが少なく快適
プラスチック製なのでワイヤーの矯正と違って口内が止め 具に当たったりする痛みもなく、口内炎にもなりにくいで す。治療開始前に3Dソフトでシュミレーションし、動かす 歯の距離を詳細に設計している為、他の矯正治療よりも痛 みが少ないのが特徴です。

04 金属アレルギーの心配はなし
プラスチック製で金属を使用しない為、アレルギーの心配 もありません。

他の矯正装置との比較


他のマウスピース矯正との比較


治療費
| 検査・診断料 | |||
|---|---|---|---|
| 口腔内診査・口腔内3Dスキャン・シミュレーション作成 含むレントゲン写真・歯科用CT・口腔内写真等 |
¥12,000(税込¥13,200) | ||
| ワイヤー矯正 | |||
| 頬側矯正:上下とも表側に装置がつきます。 舌側矯正:上下とも裏側に装置がつきます。 ハーフリンガル:上が裏側、下は表側に装置がつきます。 |
|||
| 全体矯正 | 頬側 | ¥825,000(税込¥907,500) | |
| 舌側 | ¥1,430,000(税込¥1,573,000) | ||
| ハーフリンガル | ¥1,210,000(税込¥1,331,000) | ||
| 部分矯正 | 2〜6歯 | ¥231,000(税込¥254,100) | |
| 7歯以上・片側 | ¥462,000(税込¥508,200) | ||
| インビザライン® マウスピース矯正 | |||
| 両顎 | 全体 | フル(重度) | ¥990,000(税込¥1,089,000) |
| フル(中等度) | ¥845,000(税込¥929,500) | ||
| 部分 | 中等度 | ¥800,000(税込¥880,000) | |
| 軽度 | ¥664,000(税込¥730,400) | ||
| ごく軽度 | ¥400,000(税込¥440,000) | ||
| 片顎 | 全体 | フル(重度〜中等度) | ¥880,000(税込¥968,000) |
| 部分 | 中等度 | ¥600,000(税込¥660,000) | |
| 軽度 | ¥496,000(税込¥545,600) | ||
| ごく軽度 | ¥312,000(税込¥343,200) | ||
| 小児 | 混合歯列期(ファースト) | 両顎 | ¥684,000(税込¥752,400) |
| II期(フェーズ2) | 両顎 | ¥740,000(税込¥814,000) | |
| 筋機能療法 | |||
| 筋機能療法 | プレオルソ | ¥69,000(税込¥75,900) | |
| ムーシールド | ¥69,000(税込¥75,900) | ||
| 筋機能トレーニング | ¥2,200(税込¥2,420) | ||
| 調整料 | |||
| インビザラインは総額制ですので、 治療毎の調整料のお支払いは不要です。 ワイヤー矯正はおよそ1ヶ月に1回の調整が必要です。 |
ワイヤー矯正 | ¥5,500/1回(税込¥6,050) | |
| インビザライン | ¥0 | ||
| オプション | |||
| 矯正治療前補助装置 | ¥100,000(税込¥110,000) | ||
| 矯正用スクリュー | 上下顎 | ¥35,000/1部位(税込¥38,500) | |
| 加速装置 | 光加速装置 | ¥159,500(税込¥175,450) | |
| 外科的加速装置 | ¥35,000/1部位(税込¥38,500) | ||
| 拡大装置 | ¥55,000(税込¥60,500) | ||
| 抜歯 | ¥6,050/1個(税込¥6,660) | ||
| 人工歯 | ¥5,500/1個(税込¥6,050) | ||
| 保定装置 | |||
| リテーナー | エシックス | 片顎 | ¥30,000(税込¥33,000) |
| 両顎 | ¥50,000(税込¥55,000) | ||
| ホーリー | 片顎 | ¥55,000(税込¥60,500) | |
| ビベラ | 両顎3セット | ¥150,000(税込¥165,000) | |
| Fixリテーナー | 片顎前歯 | ¥5,500(税込¥6,050) | |
| 処置料 | ¥5,500/1回(税込¥6,050/1回) | ||
| 診察料 | ¥2,200/1回(税込¥2,420/1回) | ||
お支払方法
治療費は一括で窓口現金支払い、クレジットカード払い、口座振込のほか、 患者様のご希望に合わせて支払い期間の設定、月々の支払い額を設定して頂く、 治療費の分割支払いが可能ですのでご相談ください。


治療の流れ
01 ご予約
お電話、WEB予約、LINE予約にてご予約ください。

02 60分無料カウンセリング
カウンセリングにしっかりお時間をとり、現在のしれつについ てのお悩み・ご希望などをお伺いします。わからないこと・不 安なこともなんでもご相談ください。 出来るだけ自分の歯を残すための矯正治療、美しい最高の笑顔 という結果にこだわった治療を提供します。

03 iTero(口腔内スキャナ)による3D画像診断・検查
専用の3Dソフトを使用して、治療過程と治療完了イメージを動 画で確認していきます。患者様用にカスタマイズして作成した 治療計画と治療期間を検討していきます。 通常は別途費用のかかる歯科用CT診断(3D画像)も検査料に 含まれておりますのでご安心ください。 しっかり検査してから正確な診断をしていきます。

04 マウスピース完成 治療開始
マウスピース(インビザライン)完成時に使用に関してのご説 明と着脱の練習をいたします。かみ合わせをしっかり緊密にあ わせ、わずかな歪みの微調整もおこなっていきます。 通常追加のスキャン、マウスピース作成をしていきますが、 これも総額費用に含まれておりますので別途費用はかかりませ ん。 毎日10分の加速装置の使用で長い矯正治療期間が約半分に!

05 定期チェック
2〜3ヶ月に一度、来院又はオンラインで進捗状況を確認し、計 画通り歯が移動しているかしっかりとフォローし、状況によっ てマウスピースの微調整をいたします。ご希望の方にはオンラ インや画像によるチェックも行っております。クリーニングや 虫歯予防治療、歯周病治療などのその他治療の同時進行も連携 して行うのでスムーズです。

06 リテーナ
マウスピースをすべて使用後、・噛み合わせが治ったらア タッチメントを除去し、歯の後戻り防止用装着(リテーナ)を お渡しします。 治療が終わった後の保定治療・アフターケアしていきます。

07 治療完了
いつまでも矯正治療後のキレイな歯並びをキープし、虫歯や歯周 病予防など、引き続きお口の健康をータルでサポートします。

よくある質問
Q.40歳過ぎてくると歯の動きも悪い、矯正治療で歯茎が下がると聞いたのですが?
A.何歳になっても骨に歯が埋まっている状態であれば歯の移動をさせることは可能です。骨のある場所を分析して予め立てた計画通りに歯を移動させるため。歯茎が今以上に下がってくるリスクを減らす矯正治療を行います。また、すでに下がってしまった歯茎に対しては歯肉移植手術を受けることで改善することも可能です。
Q.矯正治療に痛みはありませんか?
A.マウスピース矯正は従来のワイヤー矯正に比べて痛みや不快感が少ないと矯正歯科医より報告されています。当院はできるだけ痛みの少ない矯正治療を患者さまに提供できるよう心がけております。
Q.治療期間はどのくらいですか?
A.治療する歯の本数や移動距離、全体の治療計画の立てかたにより大きく変わりますが、平均で2年から2年半に渡って矯正を行います。できるだけ治療期間を短くするように加速装置も導入しておりますので、お気軽にお問い合わせください。
Q.インビザライン®を使用した矯正治療中に食事制限はありますか?
A.原則、食事中はインビザラインを外して食べるので、食事制限はございません。もし誤ってインビザライン®装着したまま食事をした場合は、食事後すぐにインビザライン®を外しお口の中を水でゆすいでください。マウスピースが壊れたり、歯の動きに問題が出たりすることはありませんが、虫歯の原因になる場合がございます。
Q.他の歯科医院で矯正治療をしていますが、思ったように進んでいません。そのような場合も相談を受けてもらえますか?
A.はい、相談はもちろん可能です。
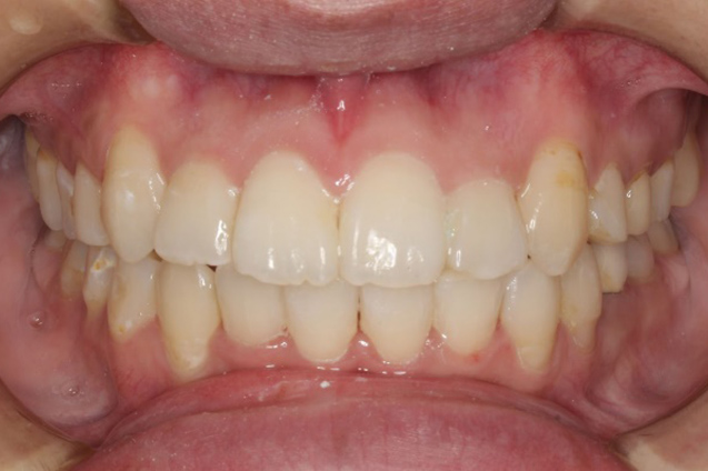
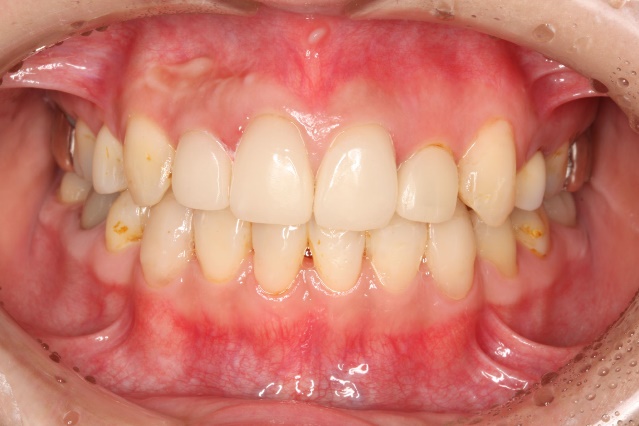
症例集1【ガタガタしている(叢生)】

【治療内容】
インビザライン矯正治療
【治療期間】
1年8ヶ月
【費用】
インビザライン全顎矯正治療 総額1,053,700円(税込)
保定治療 1年間 保定装置代も含む
【リスク・副作用】
歯磨きが十分にできていない虫歯や歯周病のリスクが高まります。
治療過程全体を通して噛み合わせが変化するので、顎関節に症状が出ることがあります。
歯周組織が失われている部分は歯列矯正を行うことで歯肉退縮やブラックトライアングルと呼ばれる隙間が発生する可能性があります。
歯列矯正中に極めて稀に歯根吸収・歯髄壊死などの異常が認められることがあります
症例集2【すきっ歯(空隙歯列)】

【治療内容】
インビザライン矯正治療
【治療期間】
1年6ヶ月
【費用】
インビザライン全顎矯正治療 総額1,053,700円(税込)
保定治療 1年間 保定装置代も含む
【リスク・副作用】
歯磨きが十分にできていない虫歯や歯周病のリスクが高まります。
治療過程全体を通して噛み合わせが変化するので、顎関節に症状が出ることがあります。
歯周組織が失われている部分は歯列矯正を行うことで歯肉退縮やブラックトライアングルと呼ばれる隙間が発生する可能性があります。
歯列矯正中に極めて稀に歯根吸収・歯髄壊死などの異常が認められることがあります
症例集3【ゴボ口(上下顎前突)】

【治療内容】
インビザライン矯正治療 抜歯4本
【治療期間】
1年9ヶ月
【費用】
インビザライン全顎矯正治療 総額1,076,900円(税込)
保定治療 1年間 保定装置代も含む
【リスク・副作用】
歯磨きが十分にできていない虫歯や歯周病のリスクが高まります。
治療過程全体を通して噛み合わせが変化するので、顎関節に症状が出ることがあります。
歯周組織が失われている部分は歯列矯正を行うことで歯肉退縮やブラックトライアングルと呼ばれる隙間が発生する可能性があります。
歯列矯正中に極めて稀に歯根吸収・歯髄壊死などの異常が認められることがあります
症例集4【受け口(下顎前突)】

【治療内容】
インビザライン矯正治療
【治療期間】
1年
【費用】
インビザライン全顎矯正治療 総額1,053,700円(税込)
保定治療 1年間 保定装置代も含む
【リスク・副作用】
歯磨きが十分にできていない虫歯や歯周病のリスクが高まります。
治療過程全体を通して噛み合わせが変化するので、顎関節に症状が出ることがあります。
歯周組織が失われている部分は歯列矯正を行うことで歯肉退縮やブラックトライアングルと呼ばれる隙間が発生する可能性があります。
歯列矯正中に極めて稀に歯根吸収・歯髄壊死などの異常が認められることがあります
症例集5【ガタガタ 深い噛み合わせ(叢生 ディープバイト)】

【治療内容】
インビザライン矯正治療
【治療期間】
1年11ヶ月
【費用】
インビザライン全顎矯正治療 総額1,053,700円(税込)
保定治療 1年間 保定装置代も含む
【リスク・副作用】
歯磨きが十分にできていない虫歯や歯周病のリスクが高まります。
治療過程全体を通して噛み合わせが変化するので、顎関節に症状が出ることがあります。
歯周組織が失われている部分は歯列矯正を行うことで歯肉退縮やブラックトライアングルと呼ばれる隙間が発生する可能性があります。
歯列矯正中に極めて稀に歯根吸収・歯髄壊死などの異常が認められることがあります
症例集6【ガタガタ 噛めない(叢生 開咬 臼歯反対咬合)】

【治療内容】
部分ワイヤー + インビザライン矯正治療
【治療期間】
2年9ヶ月
【費用】
インビザライン全顎矯正治療 総額1,053,700円(税込)
保定治療 1年間 保定装置代も含む
【リスク・副作用】
歯磨きが十分にできていない虫歯や歯周病のリスクが高まります。
治療過程全体を通して噛み合わせが変化するので、顎関節に症状が出ることがあります。
歯周組織が失われている部分は歯列矯正を行うことで歯肉退縮やブラックトライアングルと呼ばれる隙間が発生する可能性があります。
歯列矯正中に極めて稀に歯根吸収・歯髄壊死などの異常が認められることがあります


