
歯肉退縮の
症例
実際の症例から、治療による改善効果をご覧ください
大阪つつい歯科・矯正歯科クリニックの 歯肉退縮治療

歯肉退縮
(歯ぐき下がり)は
専門的
な治療
で改善
が可能
です
歯ぐきが下がり、歯の根元が露出してしまう「歯肉退縮」。見た目の問題だけでなく、知覚過敏や虫歯のリスクも高まります。大阪つつい歯科・矯正歯科では、専門的な歯周外科治療により、歯肉退縮を改善し、健康で美しい口元を取り戻すお手伝いをしています。以下では、実際の治療症例をご紹介します。
歯肉退縮の治療症例
実際の治療例をご紹介します
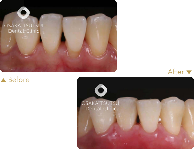
歯周病による下顎前歯
4本の歯肉退縮症例
case 01

・
リスク
治療内容
詳細
前歯部4本をVISTAテクニックにより、歯肉移植術を行いました。〇〇〇〇〇〇〇〇〇〇〇〇〇〇〇〇〇〇〇〇〇〇〇〇〇〇〇〇〇〇〇〇〇〇〇〇〇〇〇〇〇〇〇〇〇〇〇〇〇〇〇〇〇〇〇〇〇〇〇〇〇〇〇〇〇〇〇〇〇〇〇〇〇〇〇〇〇〇〇〇〇〇〇〇〇〇〇〇〇〇〇〇〇〇〇〇
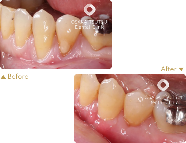
一部歯肉退縮症例
(下顎前歯2本)
case 02

2本の歯肉退縮治療を行いました。
・
リスク
治療内容
詳細
露出した根の上に樹脂の詰め物をしていましたが、詰め物が劣化し、歯がしみるといった症状が出て、見た目も悪くなっていました。詰め物だけをマイクロスコープで丁寧に除去し、VISTAテクニックによって、歯肉移植術を行いました。
露出した歯根を詰め物でカバーする治療法もありますが、詰め物が劣化すると樹脂の隙間から虫歯になったり、しみる等の症状が出てきます。歯肉異色により、根本から治療を行うことで、さらなる影響を防ぎ、見た目の美しさも改善できます。
歯周病による下顎前歯
4本の歯肉退縮症例
case 01

・
リスク
治療内容
詳細
前歯部4本をVISTAテクニックにより、歯肉移植術を行いました。〇〇〇〇〇〇〇〇〇〇〇〇〇〇〇〇〇〇〇〇〇〇〇〇〇〇〇〇〇〇〇〇〇〇〇〇〇〇〇〇〇〇〇〇〇〇〇〇〇〇〇〇〇〇〇〇〇〇〇〇〇〇〇〇〇〇〇〇〇〇〇〇〇〇〇〇〇〇〇〇〇〇〇〇〇〇〇〇〇〇〇〇〇〇〇〇
一部歯肉退縮症例
(下顎前歯2本)
case 02

2本の歯肉退縮治療を行いました。
・
リスク
治療内容
詳細
露出した根の上に樹脂の詰め物をしていましたが、詰め物が劣化し、歯がしみるといった症状が出て、見た目も悪くなっていました。詰め物だけをマイクロスコープで丁寧に除去し、VISTAテクニックによって、歯肉移植術を行いました。
露出した歯根を詰め物でカバーする治療法もありますが、詰め物が劣化すると樹脂の隙間から虫歯になったり、しみる等の症状が出てきます。歯肉異色により、根本から治療を行うことで、さらなる影響を防ぎ、見た目の美しさも改善できます。
その他の症例はこちらで紹介しています
症例をもっと見る

よくある質問
患者様からよくいただく
質問にお答えします。
局所麻酔を使用するため、治療中の痛みはほとんどありません。治療後に軽い違和感や腫れが出ることがありますが、痛み止めで十分コントロールできます。患者様の痛みに配慮した治療を心がけています。
治療期間は症状の程度や治療方法によって異なります。一般的には1~2ヶ月程度で治療が完了しますが、症状によってはより長い期間がかかる場合もあります。初回のカウンセリングで詳しい治療期間をご説明いたします。
歯周病が原因の場合は保険適用の治療も可能です。ただし、歯肉移植術など一部の治療は自費診療となります。患者様の状態に合わせて、保険診療と自費診療の両方をご提案いたします。