
歯茎下がり
は
治せる時代です
あなたの歯茎の状態を詳しく調べて、最適な治療法をご提案します。
歯ぐきに関する
このようなお悩みありませんか?
歯が長く見える
歯が抜けるのが心配
不揃いで凸凹している
「様子見」と言われる
歯ぐきが下がった
歯が長くなった
歯肉退縮とは?

正常な歯茎
健康な歯茎は歯の根元をしっかりと覆い、ピンク色で弾力があります。歯と歯茎の境界線がはっきりしています。
歯肉退縮の状態
歯茎が下がり、本来隠れているべき歯の根の部分が露出します。歯が長く見えるようになり、知覚過敏の原因となることがあります。

歯肉退縮が起こる本当の原因
「根本の原因」があると、矯正治療や歯周病等のリスクを高める要因によって、さらに歯ぐきが下がりやすくなります。
歯茎の厚み
歯を支える骨の厚み
歯茎下がりの
リスクを高める要因
歯肉退縮は前述の根本原因よって引き起こされます。
これに複数のリスク要因が重なっていることもあります。
加齢
年齢とともに歯茎の組織が薄くなり、自然に退縮することがあります。
歯周病
歯周病により歯茎や骨が破壊されます。最も一般的な原因の一つです。
強すぎるブラッシング
力を入れすぎた歯磨きで歯茎を傷つけ、退縮の原因となります。
歯並び・噛み合わせ
歯並び・噛み合わせが悪いと歯茎に負担をかけます。
矯正治療
歯茎が薄い部分で、歯茎が下がる場合があります。
喫煙
タバコが歯茎の血流を悪化させ、歯肉退縮を加速させることがあります
放置すると
どうなる?
発展する可能性があります

虫歯のリスク増加
歯の根元が露出すると、エナメル質で保護されていない部分が虫歯になりやすくなります。根面虫歯は進行が早く、治療が困難になることがあります。

見た目の変化
歯が長く見えたり、歯の隙間が目立つようになります。笑顔に自信が持てなくなることもあります。

歯の喪失
歯を支える骨が失われ、最終的には歯が抜け落ちてしまう可能性があります。
早期発見・治療が、
身体的・経済的負担を軽減
早期段階なら
歯肉退縮は自然に治ることはありません。気になる症状があれば、早めに専門の歯科医院へご相談ください。
当院は、他院では対応できない症例の受け入れ先となっており、矯正治療後に歯ぐきが痩せてお困りの方、かかりつけの歯医者が歯肉退縮に対応できなくてお困りの方にもご相談いただいております。無料カウンセリングで、お気軽にご相談ください。
当院で行う治療方法
ご提案します

遊離歯肉移植術(FGG: Free Ginginal Graft)
上顎の口蓋から採取した歯肉組織を、退縮部位に移植する方法です。角化歯肉の幅を増やし、歯茎を強化します。上顎の口蓋から採取した歯肉組織を、退縮部位に移植する方法です。角化歯肉の幅を増やし、歯茎を強化します。上顎の口蓋から採取した

結合組織移植術(CTG: Connective Tissue Graft)
上顎から結合組織のみを採取し、歯肉の下に移植する方法です。審美性に優れ、根面被覆率が高い治療法です。

根面被覆術-VISTAテクニック-
最小限の切開で複数の歯の歯肉退縮を同時に治療できる、低侵襲で高度な技術です。術後の痛みや腫れが少ないのが特徴です。
歯肉退縮の治療症例
実際の治療例をご紹介します
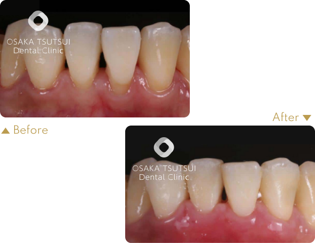
歯周病による下顎前歯
4本の歯肉退縮症例
case 01

・
リスク
治療内容
詳細
前歯部4本をVISTAテクニックにより、歯肉移植術を行いました。〇〇〇〇〇〇〇〇〇〇〇〇〇〇〇〇〇〇〇〇〇〇〇〇〇〇〇〇〇〇〇〇〇〇〇〇〇〇〇〇〇〇〇〇〇〇〇〇〇〇〇〇〇〇〇〇〇〇〇〇〇〇〇〇〇〇〇〇〇〇〇〇〇〇〇〇〇〇〇〇〇〇〇〇〇〇〇〇〇〇〇〇〇〇〇〇
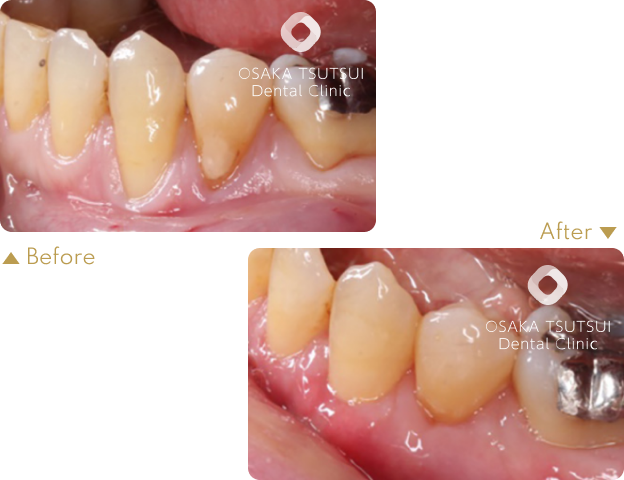
一部歯肉退縮症例
(下顎前歯2本)
case 02

2本の歯肉退縮治療を行いました。
・
リスク
治療内容
詳細
露出した根の上に樹脂の詰め物をしていましたが、詰め物が劣化し、歯がしみるといった症状が出て、見た目も悪くなっていました。詰め物だけをマイクロスコープで丁寧に除去し、VISTAテクニックによって、歯肉移植術を行いました。
露出した歯根を詰め物でカバーする治療法もありますが、詰め物が劣化すると樹脂の隙間から虫歯になったり、しみる等の症状が出てきます。歯肉異色により、根本から治療を行うことで、さらなる影響を防ぎ、見た目の美しさも改善できます。
よくある質問
患者様からよくいただく
質問にお答えします。
局所麻酔を使用するため、治療中の痛みはほとんどありません。治療後に軽い違和感や腫れが出ることがありますが、痛み止めで十分コントロールできます。患者様の痛みに配慮した治療を心がけています。
症状の程度や治療方法によって異なりますが、歯肉移植術の場合は2〜3ヶ月程度で安定します。歯周治療の場合は1〜2ヶ月が目安です。初回のカウンセリングで詳しい治療期間をご説明いたします。
適切な治療とその後のメンテナンスを行えば、再発のリスクは大きく減少します。定期的な検診と正しいブラッシング方法の実践が重要です。当院では再発防止のためのサポートも充実しています。
歯周病が原因の場合は保険適用の治療も可能です。ただし、歯肉移植術など一部の治療は自費診療となります。患者様の状態に合わせて、保険診療と自費診療の両方をご提案いたします。
はい、年齢に関わらず治療は可能です。ただし、全身状態や服用中のお薬によっては治療方法を調整する必要がある場合があります。まずは無料カウンセリングでご相談ください。
完全予約制となっております。お電話またはWebからご予約ください。初回カウンセリングは無料です。急患の方は、お電話でご相談ください。できる限り対応させていただきます。
歯科医師紹介
経験豊富な歯科医師が
責任を持って治療を行います。

筒井 純也
Dr. Junya Tsutsui
日本歯周病学会 専門医・指導医
治療理念
「患者様一人ひとりに寄り添った丁寧な診療」をモットーに、最新の技術と豊富な経験を活かした質の高い治療を提供しています。
お口の悩みは何でもご相談ください。
歯ぐきの悩みは放置せず、
まずはご相談ください
初回カウンセリング無料
お気軽にお問い合わせください
休診日:日曜・祝日
