G-W15BBT0DQK

歯肉退縮の症例紹介

歯肉退縮の症例紹介

歯肉退縮
症例

実際の症例から、治療による改善効果をご覧ください

歯肉退縮の説明画像

歯肉退縮 (歯ぐき下がり)は
専門的治療 改善可能 です

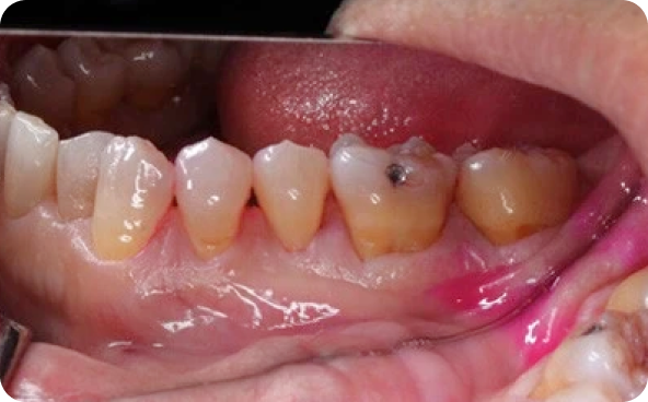
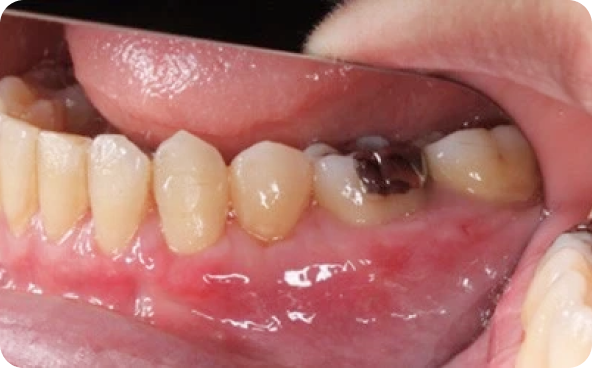
歯ぐきが下がり、歯の根元が露出してしまう「歯肉退縮」。見た目の変化だけでなく、知覚過敏や根面う蝕(歯の根元の虫歯)、歯周病の再発リスクが高まる原因にもなります。
大阪つつい歯科・矯正歯科では、結合組織移植術(CTG)や遊離歯肉移植術(FGG)、VISTAテクニックなどの歯周形成外科を用い、お口全体の状態を踏まえながら、歯肉退縮の改善を図ります。
ここでは、実際に行った治療症例の一部をご紹介します。

歯肉退縮の治療症例

実際の治療例をご紹介します

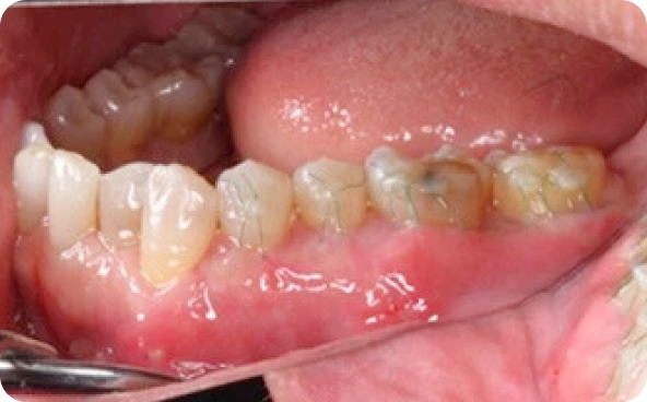
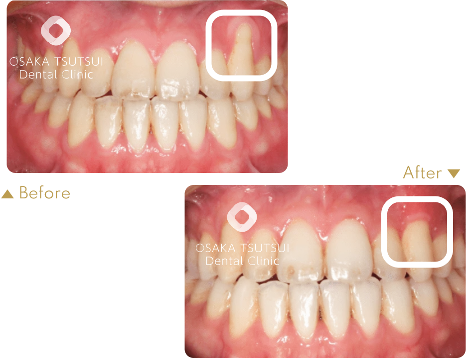
上顎1本の歯肉退縮治療

case 01
治療前後の比較
治療概要
上顎1本の結合組織移植
原因
矯正治療
治療回数
処置1回(来院回数3回)
費用
96,800円(1歯・税込)
副作用

リスク
歯肉が下がってしまった分をすべて回復できるわけではなく、どの程度戻せるかは、歯ぐきの状態や歯の位置、かみ合わせなどによって異なります。
手術後には、腫れ・痛み・出血・内出血・一時的な知覚過敏などの症状が出ることがありますが、多くは数日〜1週間程度で落ち着いていきます。まれに感染や治癒不全が起こる場合もあります。
また、プラークコントロールが不十分な場合や喫煙されている場合には、治療の成功率や長期的な安定性が下がるとされています。
術後も正しいブラッシングと定期的なメンテナンスを続けることが重要です。

治療内容
詳細

矯正治療後に左上の歯一本で歯肉退縮が起こり、見た目が気になり、このまま歯が抜けそうで怖いと思われ、ご家族の紹介で来院されました。矯正により歯肉退縮した部位を、結合組織移植を用いた歯肉弁歯冠側移動術により治療しました。今回の治療で、退縮した分をほぼすべて回復することができ、満足していただけました。

上顎2本の歯肉退縮治療

case 02
治療前後の比較
治療概要
上顎の前歯2本の歯肉退縮治療
原因
その他
治療回数
処置1回(来院回数3回)
費用
193,600円 (96,800円×2本)(税込)
副作用

リスク
歯肉が下がってしまった分をすべて回復できるわけではなく、どの程度戻せるかは、歯ぐきの状態や歯の位置、かみ合わせなどによって異なります。
手術後には、腫れ・痛み・出血・内出血・一時的な知覚過敏などの症状が出ることがありますが、多くは数日〜1週間程度で落ち着いていきます。まれに感染や治癒不全が起こる場合もあります。
また、プラークコントロールが不十分な場合や喫煙されている場合には、治療の成功率や長期的な安定性が下がるとされています。
術後も正しいブラッシングと定期的なメンテナンスを続けることが重要です。

下顎前歯4本の歯肉退縮症例

case 03
治療前後の比較
治療概要
下顎の前歯4本の歯肉退縮治療
前歯部4本をVISTAテクニックにより、歯肉移植術を行いました。
原因
その他
治療回数
処置1回(来院回数3回)
費用
387,200円 (96,800円×4本)(税込)
副作用

リスク
歯肉が下がってしまった分をすべて回復できるわけではなく、どの程度戻せるかは、歯ぐきの状態や歯の位置、かみ合わせなどによって異なります。
手術後には、腫れ・痛み・出血・内出血・一時的な知覚過敏などの症状が出ることがありますが、多くは数日〜1週間程度で落ち着いていきます。まれに感染や治癒不全が起こる場合もあります。
また、プラークコントロールが不十分な場合や喫煙されている場合には、治療の成功率や長期的な安定性が下がるとされています。
術後も正しいブラッシングと定期的なメンテナンスを続けることが重要です。

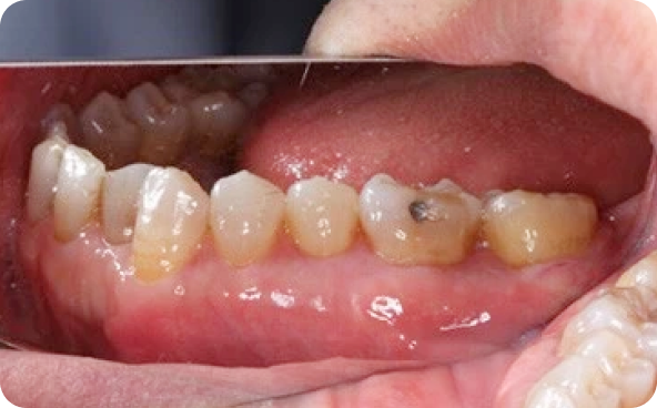
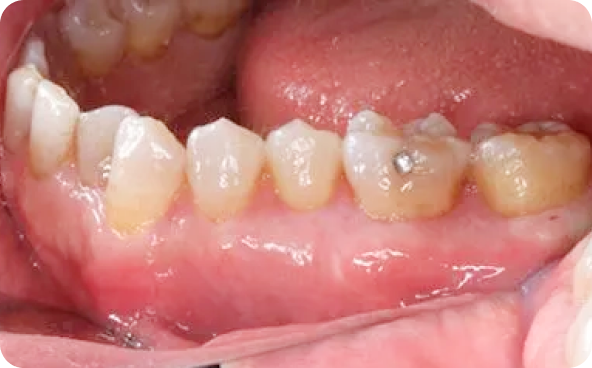
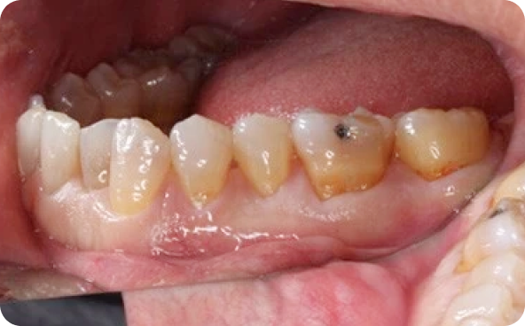
レジン除去・下顎2本の歯肉退縮症例

case 04
治療前後の比較
治療概要
露出した根をカバーするためのレジンを除去、 2本の歯肉退縮治療
原因
その他
治療回数
処置1回(抜糸消毒1~2回)
費用
1歯あたり96,800円(税込)
副作用

リスク
歯肉が下がってしまった分をすべて回復できるわけではなく、どの程度戻せるかは、歯ぐきの状態や歯の位置、かみ合わせなどによって異なります。
手術後には、腫れ・痛み・出血・内出血・一時的な知覚過敏などの症状が出ることがありますが、多くは数日〜1週間程度で落ち着いていきます。まれに感染や治癒不全が起こる場合もあります。
また、プラークコントロールが不十分な場合や喫煙されている場合には、治療の成功率や長期的な安定性が下がるとされています。
術後も正しいブラッシングと定期的なメンテナンスを続けることが重要です。

治療経過を画像で見る 治療経過を閉じる

治療前後の比較 治療前後の比較 治療前後の比較 治療前後の比較

治療内容
詳細

露出した根の上に樹脂の詰め物をしていましたが、時間の経過とともに詰め物が劣化し、歯がしみる症状や、見た目の不自然さが気になるようになっていました。
マイクロスコープを用いて樹脂の詰め物のみを丁寧に除去したうえで、VISTAテクニックによる歯肉移植術(結合組織移植)を行いました。
露出した歯根を詰め物で覆う方法に比べて、歯肉を移植して根面を覆うことで、虫歯や知覚過敏のリスクをより根本から減らすことが期待できます。
歯ぐきのボリュームも回復し、歯と歯ぐきの境目のラインが自然になったことで、見た目の面でも改善が得られました。

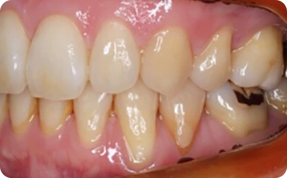
奥歯の歯ぐきやせ治療

case 05
治療前後の比較
治療概要
奥歯4本の歯肉退縮治療
原因
その他
治療回数
処置1回(来院回数3回)
費用
96,800円(1歯あたり・税込)
副作用

リスク
歯肉が下がってしまった分をすべて回復できるわけではなく、どの程度戻せるかは、歯ぐきの状態や歯の位置、かみ合わせなどによって異なります。
手術後には、腫れ・痛み・出血・内出血・一時的な知覚過敏などの症状が出ることがありますが、多くは数日〜1週間程度で落ち着いていきます。まれに感染や治癒不全が起こる場合もあります。
また、プラークコントロールが不十分な場合や喫煙されている場合には、治療の成功率や長期的な安定性が下がるとされています。
術後も正しいブラッシングと定期的なメンテナンスを続けることが重要です。

治療経過を画像で見る 治療経過を閉じる

治療前後の比較 治療前後の比較 治療前後の比較 治療前後の比較 治療前後の比較 治療前後の比較 治療前後の比較 治療前後の比較

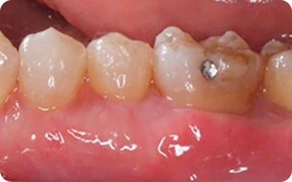
矯正後の歯ぐき下がり治療

case 06
治療前後の比較
治療概要
奥歯2本の歯肉退縮治療
原因
矯正治療
治療回数
処置1回(抜糸消毒1~2回)
費用
1歯あたり96,800円(税込)
副作用

リスク
歯肉が下がってしまった分をすべて回復できるわけではなく、どの程度戻せるかは、歯ぐきの状態や歯の位置、かみ合わせなどによって異なります。
手術後には、腫れ・痛み・出血・内出血・一時的な知覚過敏などの症状が出ることがありますが、多くは数日〜1週間程度で落ち着いていきます。まれに感染や治癒不全が起こる場合もあります。
また、プラークコントロールが不十分な場合や喫煙されている場合には、治療の成功率や長期的な安定性が下がるとされています。
術後も正しいブラッシングと定期的なメンテナンスを続けることが重要です。

その他の症例も紹介しています

症例をもっと見る

背景画像

あなたの症状も
改善できるかもしれません

歯ぐきの悩み、
まずは専門医にご相談ください。

無料カウンセリングを予約する

よくある質問

患者様からよくいただく
質問にお答えします。

局所麻酔を使用して処置を行うため、手術中の痛みはほぼ感じない方がほとんどです。
手術後は、数日間ほど腫れや痛み、違和感が出ることがありますが、通常は処方する痛み止めでコントロール可能な範囲です。必要に応じて、痛み止めや腫れを抑えるお薬を追加でご提案することもできます。
当院では、麻酔の方法や術中の声かけにも配慮し、できる限り負担の少ない治療を心がけています。

治療期間は、歯ぐきの状態や治療する本数、選択する術式によって異なります。
一般的な目安としては、

  • 手術当日
  • 術後1〜2週間で抜糸・経過チェック
  • その後1〜3ヶ月かけて歯ぐきの状態が安定していく

という経過をたどることが多いです。
完全に歯ぐきの形や色が落ち着くまでには数ヶ月かかることもありますので、初回のカウンセリング時に、想定される治療スケジュールを詳しくご説明いたします。

歯周病などの「病気」を治療することを目的とした処置については、内容によって保険診療で対応できる場合があります。
例えば、歯周病の炎症を抑えるための歯周治療や外科処置などが該当します。
一方で、”下がってしまった歯ぐきを元の状態に近づける歯肉移植術や根面被覆術などの歯周形成外科治療は、原則として自由診療(自費)”となります。
当院では、

  • どこまで保険診療で対応できるか
  • どこからが自由診療になるのか

を事前に分かりやすくご説明し、患者様のご希望やご予算に応じて、最適な治療方法をご提案します。

歯肉退縮 ガイド

歯ぐき下がりとは?当院の歯肉退縮治療 原因・予防方法 症状と進行 治療方法 費用 症例紹介 よくある質問

歯肉退縮 ブログ