G-W15BBT0DQK

大阪・中之島・肥後橋の歯医者なら大阪つつい歯科・矯正歯科!!

歯ぐき下がり
治せる時代です

チェック 見た目の改善ができます
チェック しみるのを防げます
チェック 将来的に歯を失うリスクを減らせます
まずはお気軽にご相談ください。
あなたの歯ぐきの状態を詳しく調べて、最適な治療法をご提案します。

歯のイラスト 歯ぐきに関する
このようなお悩みありませんか?

特定の歯だけ、
歯が長く見える
歯ぐきが下がって
歯が抜けるのが心配
歯ぐきのラインが
不揃いで凸凹している
かかりつけ歯科医に
「様子見」と言われる
矯正治療によって
歯ぐきが下がった
インプラント治療後に、
歯が長くなった

歯ぐき下がり(歯肉退縮)とは?

歯ぐき下がりは「歯肉退縮(しにくたいしゅく)」とも呼ばれ、
歯ぐきが痩せて、本来であれば歯ぐきに隠れている歯の根っこの部分が見えている状態をいいます。
歯周病、ブラッシング習慣、歯並びなど様々な要因が影響し、
加齢により悪化しますが、20〜30代の若い年代でも起こります。
歯ぐき下がりは自然に治ることはありません。
進行すると歯を失うリスクが高くなるため、早めの治療が大切です。

チェック 正常な歯ぐき

健康な歯ぐきは歯の根元をしっかりと覆い、ピンク色で引き締まっています。

警告 歯ぐきが下がっている状態

歯ぐきが痩せて、本来隠れているべき歯の根の部分が露出します。歯が長く見えるようになります。

歯肉退縮起こる本当原因

歯ぐきが下がる根本の原因は、歯ぐきや歯槽骨の厚み(生まれつきの要因)です。
「根本の原因」があると、矯正治療や歯周病等のリスクを高める要因によって、さらに歯ぐきが下がりやすくなります。
歯ぐき

歯ぐきの厚み

歯ぐき

歯を支える骨の厚み

歯ぐき下がり
リスク高める要因

歯肉退縮は前述の根本原因よって引き起こされます。
これに複数のリスク要因が重なっていることもあります。

加齢

加齢

年齢とともに歯ぐきの組織が薄くなり、自然に退縮することがあります。

歯周病

歯周病

歯周病により歯ぐきや骨が破壊されます。最も一般的な原因の一つです。

ブラッシング

強すぎるブラッシング

力を入れすぎた歯磨きで歯ぐきを傷つけ、退縮の原因となります。

噛み合わせ

歯並び・噛み合わせ

歯並び・噛み合わせが悪いと歯ぐきに負担をかけます。

歯ぎしり

矯正治療

歯ぐきが薄い部分で、歯ぐきが下がる場合があります。

喫煙

喫煙

タバコが歯ぐきの血流を悪化させ、歯肉退縮を加速させることがあります

放置すると
どうなる?

歯肉退縮を放置すると、さらに深刻な問題に
発展する可能性があります
虫歯のリスク増加

虫歯のリスク増加

歯の根元が露出すると、エナメル質で保護されていない部分が虫歯になりやすくなります。根面虫歯は進行が早く、治療が困難になることがあります。

審美面の変化

審美面の変化

歯が長く見えたり、歯の隙間が目立つようになります。笑顔に自信が持てなくなることもあります。

歯を失うリスク

歯を失うリスク

歯を支える骨が失われ、最終的には歯が抜け落ちてしまう可能性があります。

早期発見・治療が、
身体的・経済的負担を軽減

早期段階なら

治療期間が短く済みます
治療費を抑えられます
身体的な負担が少なくなります

歯肉退縮は自然に治ることはありません。気になる症状があれば、早めに専門の歯科医院へご相談ください。

当院は、他院では対応できない症例の受け入れ先となっており、矯正治療後に歯ぐきが痩せてお困りの方、かかりつけの歯医者が歯肉退縮に対応できなくてお困りの方にもご相談いただいております。
カウンセリングで、お気軽にご相談ください。

当院で行う治療方法

患者様の状態に合わせた最適な治療を
ご提案します
遊離歯肉移植術

遊離歯肉移植術(FGG: Free Ginginal Graft)

上顎の口蓋から採取した歯肉組織を、退縮部位に移植する方法です。

結合組織移植術

結合組織移植術(CTG: Connective Tissue Graft)

上顎から結合組織のみを採取し、歯肉の下に移植する方法です。審美性に優れ、根面被覆率が高い治療法です。

根面被覆術

根面被覆術-VISTAテクニック-

最小限の切開で複数の歯の歯肉退縮を同時に治療できる、低侵襲で高度な技術です。術後の痛みや腫れが少ないのが特徴です。

歯肉退縮の治療症例

実際の治療例をご紹介します

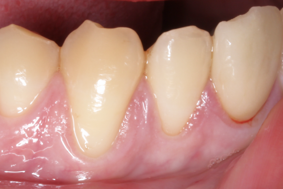
下顎前歯4本の歯肉退縮症例

case 01
治療前後の比較
患者様
20代女性
治療概要
下顎の前歯4本の歯肉退縮治療
原因
歯周病
治療回数
処置1回(来院回数3回)
費用
387,200円 (96,800円×4本)(税込)
副作用

リスク
歯肉が下がってしまった分すべてを回復できるわけではなく、どの程度回復できるかは、状態によります。プラークコントロールが良くない場合や、喫煙者では成功率が下がります。

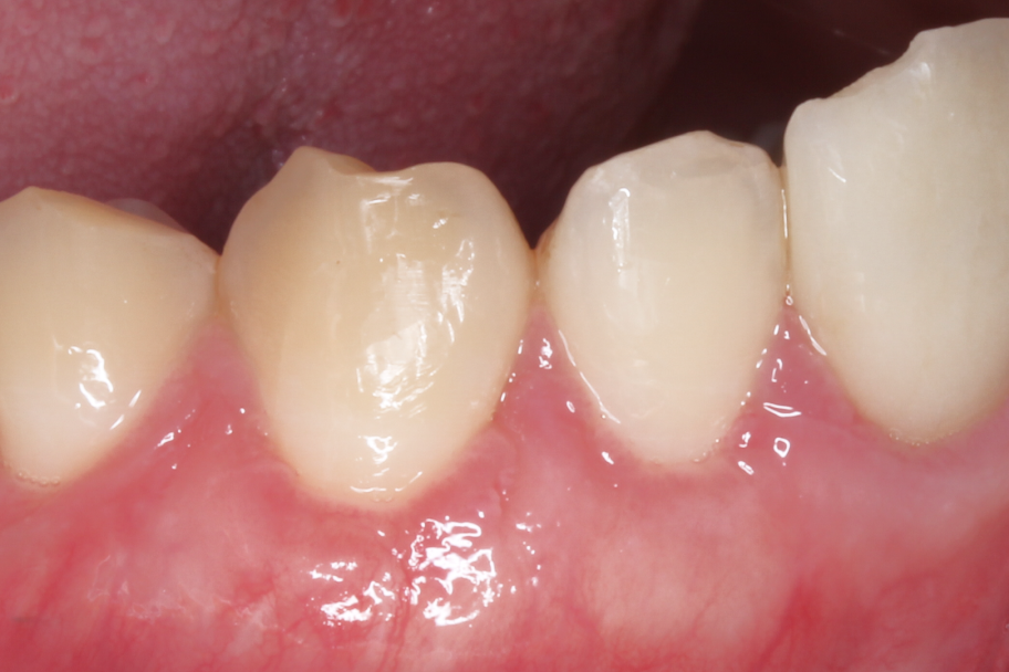
レジン除去・下顎2本の歯肉退縮症例

case 02
治療前後の比較
患者様
30代男性
治療概要
露出した根をカバーするための詰め物を除去し、
2本の歯肉退縮治療を行いました。
原因
その他
治療回数
処置1回(抜糸消毒1~2回)
費用
1歯あたり96,800円(税込)
副作用

リスク
歯肉が下がってしまった分すべてを回復できるわけではなく、どの程度回復できるかは、状態によります。プラークコントロールが良くない場合や、喫煙者では成功率が下がります。

治療内容
詳細

露出した根の上に樹脂の詰め物をしていましたが、詰め物が劣化し、歯がしみるといった症状が出て、見た目も悪くなっていました。詰め物だけをマイクロスコープで丁寧に除去し、VISTAテクニックによって、歯肉移植術を行いました。
露出した歯根を詰め物でカバーする治療法もありますが、詰め物が劣化すると樹脂の隙間から虫歯になったり、しみる等の症状が出てきます。歯肉移植により、根本から治療を行うことで、さらなる影響を防ぎ、見た目の美しさも改善できます。

よくある質問

患者様からよくいただく
質問にお答えします。

局所麻酔を使用するため、治療中の痛みはほとんどありません。治療後に軽い違和感や腫れが出ることがありますが、痛み止めで十分コントロールできます。患者様の痛みに配慮した治療を心がけています。

症状の程度や治療方法によって異なりますが、歯肉移植術の場合は2〜3ヶ月程度で安定します。歯周治療の場合は1〜2ヶ月が目安です。初回のカウンセリングで詳しい治療期間をご説明いたします。

適切な治療とその後のメンテナンスを行えば、再発のリスクは大きく減少します。定期的な検診と正しいブラッシング方法の実践が重要です。当院では再発防止のためのサポートも充実しています。

歯周病が原因の場合は保険適用の治療も可能です。ただし、歯肉移植術など一部の治療は自費診療となります。患者様の状態に合わせて、保険診療と自費診療の両方をご提案いたします。

はい、年齢に関わらず治療は可能です。ただし、全身状態や服用中のお薬によっては治療方法を調整する必要がある場合があります。まずは無料カウンセリングでご相談ください。

完全予約制となっております。お電話またはWebからご予約ください。初回カウンセリングは無料です。急患の方は、お電話でご相談ください。できる限り対応させていただきます。

歯科医師紹介

経験豊富な歯科医師が
責任を持って治療を行います。

歯科医師

筒井 純也

Dr. Junya Tsutsui

治療理念

「患者様一人ひとりに寄り添った丁寧な診療」をモットーに、最新の技術と豊富な経験を活かした質の高い治療を提供しています。
お口の悩みは何でもご相談ください。

歯ぐきの悩みは放置せず、
まずはご相談ください

初回カウンセリング無料
お気軽にお問い合わせください

時計
月~土 9:30〜18:00
休診日:日曜・祝日
診療室

歯肉退縮 カテゴリ

歯ぐき下がりとは?当院の歯肉退縮治療 原因・予防方法 症状と進行 治療方法 費用 症例紹介 よくある質問